Laser

Treatment

In Hyderabad

In the 21st century, there was a technology explosion towards high standard dentistry. As a part of this lasers were introduced to achieve painless dentistry and are going to play a major role in the near future. Dental treatments were considered to be very painful in the past and have created fear in many minds, with the introduction of dental lasers now no more injections, cutting, bleeding, sewing, and pain, ONLY SMILES.

How Safe Dental Lasers Are?

Lasers are 100% safe, and FDI approved. Widely used with excellent results.

ADVANTAGE WITH LASER

- Seals nerve ending and blood vessels while cutting, hence no bleeding & pain.

- Kills microorganisms make the area sterile.

- Stimulates cells for disease resistance gives (stimulates phagocytic activity) better tissue resistance.

- Stimulates blood supply for faster healing.

Laser

Dentist

In Hyderabad

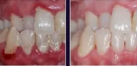
HOW TO IDENTIFY GUM DISEASE?

GUM DISEASES (bleeding gums & bad breath) can be effectively cured without injection and pain in just 1hr by lasers.

LINAP (Laser Incision New Attachment Procedure). It’s an FDI approved widely followed European procedure,

Procedure- After thorough scaling (removal of tartar), Local anesthesia is sprayed then a thin laser tip about the size of 3 human hair is gently passed between teeth and gums to remove diseased tissue inside the pocket, this completely removes diseased tissue and kills germs that cause gum infections while leaving healthy tissue unharmed.

with the ultrasonic tip, the remaining debris is removed from the deeper areas, and then the laser is used at the bottom of the pocket to sterilize the pocket, the blood in between gums and tooth surface coagulates to form a seal and aids in fast healing.

- ROOT CANAL TREATMENT kills microorganisms effectively in the root canal and increases the success rate of RCT.

- AFTER TOOTH REMOVAL laser application stops bleeding immediately, prevents infection and helps in faster healing.

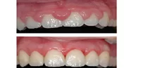
- DARK GUMS can be changed to coral pink in just 10 min.

- TEETH WHITENING laser bleaching is the best way to whiten teeth without post-operative sensitivity.

- GUM CONTOURING swollen gums, abnormal gums can be contoured according to patient requirement.

- RECURRENT ULCERS IN MOUTH pain due to an ulcer can be relived instantly with dental lasers.

- SENSITIVE TEETH due to cold and hot foods can be effectively treated with dental lasers.

Frequently Asked Question

You May Ask

Laser dentistry is a minimally invasive dental treatment that uses a special laser device to perform a wide range of procedures, such as cavity removal, gum reshaping, teeth whitening, and many others.

Yes, laser dentistry is safe and effective when performed by a trained and qualified dentist. The laser is a precise and controlled tool that minimizes the risk of injury to surrounding tissues and reduces bleeding and discomfort.

Laser dentistry offers many benefits over traditional dental treatments, such as less discomfort, reduced bleeding, faster healing, and less need for anesthesia. It also allows for more precise and accurate procedures, reducing the risk of complications.

Laser dentistry is generally less painful than traditional dental treatments because the laser is less invasive and produces less heat and vibration. However, some patients may still experience some discomfort, and the dentist may use anesthesia to ensure their comfort.

The length of a laser dental treatment depends on the procedure being performed. Some procedures, such as cavity removal or teeth whitening, can be completed in as little as 30 minutes, while others, such as gum reshaping or periodontal treatment, may take longer.

Most patients experience little to no side effects after laser dental treatments. However, some patients may experience mild swelling or discomfort, which usually goes away within a few days. Rarely, patients may experience sensitivity to hot or cold temperatures or temporary changes in the color of their teeth.

The cost of laser dentistry varies depending on the procedure being performed, the location of the dental office, and other factors. Laser treatments may cost more than traditional dental treatments, but they can also offer more benefits and reduce the need for follow-up appointments.

Hyderabad Laser Dentistry is the first laser Hospital in Hyderabad. Dr. D Rajasekhar is the first laser dentist in Hyderabad.